技术升级!元育「酵母细胞工厂」实现酯态虾青素合成
【SynBioCon】获悉,近日,元育生物成功在酵母底盘中合成出酯化形式虾青素,实现了从游离态虾青素向酯化态虾青素精准合成的跨越。
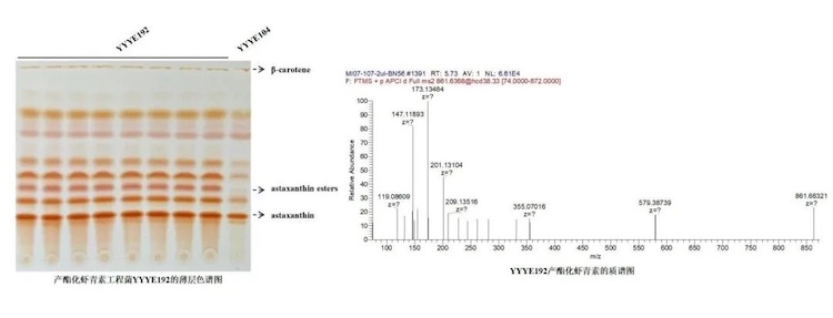
元育生物通过先进的基因编辑技术和发酵工程,在酵母合成虾青素方面不断取得进展。此前,元育已将全左旋虾青素的生产效率提高了120 至300 倍,生产成本降低了一半以上。此次成功合成酯化形式的虾青素,是其又一次进步。酯化虾青素相较于普通虾青素,在稳定性和生物利用度上更具优势。

在实际应用中,稳定性的提升能让产品在货架期内更好地保持功效,减少因氧化等因素导致的品质下降;而生物利用度的提高则能让生物体更有效地吸收和利用虾青素,从而增强其在各个领域的应用效果。

酯化虾青素的稳定性和生物利用度优势,核心源于其独特的分子结构—— 虾青素末端的羟基与脂肪酸链通过酯键结合,形成了一层天然的“保护屏障”。
这层脂肪酸链如同给虾青素的共轭双键结构穿上了“防护衣”,能有效抵御外界环境的破坏。在饲料制粒的高温(通常80-120℃)环境中,可减少因热量导致的双键断裂,让有效成分在加工后仍能保持较高活性;而在食品加工的氧化环境中,它能降低氧气、光照等因素引发的降解,显著提升虾青素在生产、储存环节的保留率。同时,这种酯化结构增强了虾青素的脂溶性,使其在进入生物体内后,能更顺利地与肠道中的脂质载体结合,即便需要经过酯酶水解才能被吸收,整体吸收效率也远高于游离态,从而在饲料、食品等应用场景中更能发挥其着色、抗氧化等核心价值。
元育生物的首席研究员屈玉娇博士表示:“元育实验室团队经过不懈努力,成功攻克了酵母合成酯化虾青素的技术。通过优化基因编辑策略和发酵工艺,不仅实现了酯化虾青素的合成,还将逐步提升其在产品中的占比,为市场提供更高质量、更具性价比的虾青素产品。”
在市场拓展方面,元育生物积极开展对外合作与授权品种相关工作。
计划通过技术授权、联合开发等模式,将生物合成虾青素相关技术和产品应用到更广泛的领域。同时,元育正在积极准备生物合成虾青素的法规注册工作,并计划与合作者共同开展,以确保产品能合规地进入各类目标市场,加速生物合成虾青素的市场落地。
▌参考信息:本文部分素材来自元育生物。由作者重新编写,系作者个人观点,本平台发布仅为了传达一种不同观点,不代表对该观点赞同或支持。如果有任何问题,请联系我们:15356747796(微信同号)。
